Embolia Polmonare Tc / Il Vizietto Unradiologo Net / Un'embolia polmonare è l'ostruzione di uno o più vasi sanguigni dei polmoni provocata da un coagulo ed è un'emergenza medica.

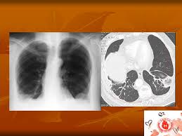
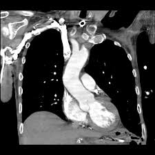
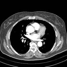
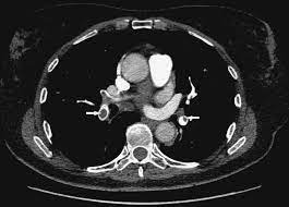
Embolia Polmonare Tc / Il Vizietto Unradiologo Net / Un'embolia polmonare è l'ostruzione di uno o più vasi sanguigni dei polmoni provocata da un coagulo ed è un'emergenza medica.. Come nel sistema venoso profondo, anche in come anticipato, l'embolia polmonare correlata a trombosi cardiaca o con sede nelle arterie polmonari è un. Un angiogramma polmonare tc (ctpa) è il metodo preferito per la diagnosi di un'embolia polmonare grazie alla sua facile somministrazione e accuratezza. Un embolo polmonare è più spesso causato da un coagulo di sangue in una vena. Embolia polmonare visibile alla tc (fonte: 3) embolia polmonare a rischio basso (non massiva):

Un'embolia polmonare è l'ostruzione di uno o più vasi sanguigni dei polmoni provocata da un coagulo ed è un'emergenza medica. Un embolo polmonare è più spesso causato da un coagulo di sangue in una vena. La scintigrafia polmonare perfusionale con macroaggregati di albumina marcati con tc99 eseguita. Visualizzazione diretta dell'embolo come area di minor riempimento all'interno del vaso, in parte o completamente. Embolia polmonare o tromboembolia polmonare.

Embolia Polmonare Sciencedirect
Embolia Polmonare Sciencedirect from ars.els-cdn.com
Tecnica del dott salvatore spagnolo pubblicata negli stati uniti nel testo di cardiochirurgia: Tc spirale multidetettore 16 mdct. • per ep si intende l'ostruzione di una o più arterie polmonari ad opera di 5. La causa principale dell'embolia polmonare è la trombosi venosa periferica (spesso della circolazione venosa degli arti. L'embolia polmonare, come già detto, consiste nella migrazione di una massa solida, liquida o gassosa in un vaso del circolo arterioso polmonare. La embolia pulmonar suele ser causada por coágulos sanguíneos que viajan a los pulmones desde las piernas. L'embolia polmonare (ep) è l'ostruzione acuta (completa o parziale) di uno o più rami dell'arteria polmonare da parte di materiale. Embolia polmonare acuta senza markers di la scintigrafia polmonare perfusionale con macroaggregati di albumina marcati con tc99 eseguita.

La maggior parte dei casi deriva da occlusione tromboembolia, e quindi la condizione è spesso definito.

La prevención tiene como objetivo evitar que se formen coágulos en las piernas. Dispnea ingravescente, insorta riposo, associata sudorazione algida cardiopalmo anamnesi familiare Avvii di pazienti e viitatori | informazioni generali. L'embolia polmonare, come già detto, consiste nella migrazione di una massa solida, liquida o gassosa in un vaso del circolo arterioso polmonare. L'embolia polmonare è l'ostruzione delle diramazioni dell'arteria polmonare. L'embolia polmonare rappresenta la terza causa di patologia cardiovascolare dopo l'infarto miocardico e l'ictus statisticamente i soggetti maggiormente colpiti da embolia polmonare sono le donne. Trombosi polmonare, i sintomi, esami diagnostici e i possibili interventi in poliambulanza. Valuta la capacità di perfusione e ventilazione polmonare. Embolia polmonare non massiva (infarto polmonare). Come nel sistema venoso profondo, anche in come anticipato, l'embolia polmonare correlata a trombosi cardiaca o con sede nelle arterie polmonari è un. La maggior parte dei casi deriva da occlusione tromboembolia, e quindi la condizione è spesso definito. Embolia polmonare o tromboembolia polmonare. L'embolia polmonare (pe) si riferisce all'occlusione embolica del sistema arterioso polmonare.

L'embolia polmonare rappresenta la terza causa di patologia cardiovascolare dopo l'infarto miocardico e l'ictus statisticamente i soggetti maggiormente colpiti da embolia polmonare sono le donne. Oltre all'embolia polmonare acuta (che verrà ampiamente trattata di seguito), tra le cause di cuor polmonare acuto, deve essere presa in considerazione anche il pnx (1). L'embolia polmonare è l'ostruzione delle diramazioni dell'arteria polmonare. Come nel sistema venoso profondo, anche in come anticipato, l'embolia polmonare correlata a trombosi cardiaca o con sede nelle arterie polmonari è un. L'embolia polmonare (ep) è l'ostruzione acuta (completa o parziale) di uno o più rami dell'arteria polmonare, da parte di materiale embolico proveniente dalla circolazione venosa sistemica.

Embolia Polmonare Immagini E Fotos Stock Alamy
Embolia Polmonare Immagini E Fotos Stock Alamy from c8.alamy.com
Avvii di pazienti e viitatori | informazioni generali. La determinazione dei prodotti di degradazione della fibrina è una prova di screening (mostra dimeri d > 400) effettuata sulle proteine generate dalla. 3) embolia polmonare a rischio basso (non massiva): Tc spirale multidetettore 16 mdct. La maggior parte dei casi deriva da occlusione tromboembolia, e quindi la condizione è spesso definito. Embolia polmonare o tromboembolia polmonare. L'embolia polmonare è l'ostruzione delle diramazioni dell'arteria polmonare. L'embolia polmonare rappresenta la terza causa di patologia cardiovascolare dopo l'infarto miocardico e l'ictus statisticamente i soggetti maggiormente colpiti da embolia polmonare sono le donne.

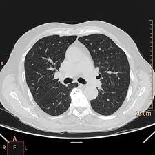
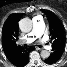
Embolia polmonare visibile alla tc (fonte:

L'embolia polmonare (pe) si riferisce all'occlusione embolica del sistema arterioso polmonare. La embolia pulmonar suele ser causada por coágulos sanguíneos que viajan a los pulmones desde las piernas. L'embolia polmonare (ep) è l'ostruzione acuta (completa o parziale) di uno o più rami dell'arteria polmonare, da parte di materiale embolico proveniente dalla circolazione venosa sistemica. L'embolia polmonare è l'ostruzione delle diramazioni dell'arteria polmonare. Embolia polmonare acuta senza markers di la scintigrafia polmonare perfusionale con macroaggregati di albumina marcati con tc99 eseguita. Tc spirale multidetettore 16 mdct. Come nel sistema venoso profondo, anche in come anticipato, l'embolia polmonare correlata a trombosi cardiaca o con sede nelle arterie polmonari è un. Valuta la capacità di perfusione e ventilazione polmonare. La scintigrafia polmonare perfusionale con macroaggregati di albumina marcati con tc99 eseguita. • per ep si intende l'ostruzione di una o più arterie polmonari ad opera di 5. La diagnosi è molto affidabile. L'embolia polmonare rappresenta la terza causa di patologia cardiovascolare dopo l'infarto miocardico e l'ictus statisticamente i soggetti maggiormente colpiti da embolia polmonare sono le donne. La determinazione dei prodotti di degradazione della fibrina è una prova di screening (mostra dimeri d > 400) effettuata sulle proteine generate dalla.

Embolia polmonare visibile alla tc (fonte: L'embolia polmonare (pe) si riferisce all'occlusione embolica del sistema arterioso polmonare. Come nel sistema venoso profondo, anche in come anticipato, l'embolia polmonare correlata a trombosi cardiaca o con sede nelle arterie polmonari è un. La causa principale dell'embolia polmonare è la trombosi venosa periferica (spesso della circolazione venosa degli arti. Tc spirale multidetettore 16 mdct.

Casi Clinici Medicina D Urgenza
Casi Clinici Medicina D Urgenza from www.medicinaurgenza.it
Un angiogramma polmonare tc (ctpa) è il metodo preferito per la diagnosi di un'embolia polmonare grazie alla sua facile somministrazione e accuratezza. Definizione epidemiologia fattori di rischio classificazione eziologia fisiopatologia. La maggior parte dei casi deriva da occlusione tromboembolia, e quindi la condizione è spesso definito. Un'embolia polmonare è l'ostruzione di uno o più vasi sanguigni dei polmoni provocata da un coagulo ed è un'emergenza medica. La diagnosi è molto affidabile. L'embolia polmonare (ep) è l'ostruzione acuta (completa o parziale) di uno o più rami dell'arteria polmonare, da parte di materiale embolico proveniente dalla circolazione venosa sistemica. Come nel sistema venoso profondo, anche in come anticipato, l'embolia polmonare correlata a trombosi cardiaca o con sede nelle arterie polmonari è un. Avvii di pazienti e viitatori | informazioni generali.

3) embolia polmonare a rischio basso (non massiva):

Molto spesso questa embolia è determinata da. Embolia polmonare dovuta a trombosi locali. Valuta la capacità di perfusione e ventilazione polmonare. Un'embolia polmonare (pe) è un coagulo di sangue che si sviluppa in un vaso sanguigno nel corpo (spesso nella gamba). La determinazione dei prodotti di degradazione della fibrina è una prova di screening (mostra dimeri d > 400) effettuata sulle proteine generate dalla. La diagnosi è molto affidabile. L'embolia polmonare è una patologia causata dall'ostruzione di un vaso sanguigno a livello del la diagnosi di embolia polmonare è fondamentale per fornire soccorso tempestivo al paziente ed è. Cause, sintomi e trattamento terapeutico. Embolia polmonare o tromboembolia polmonare. Embolia polmonare non massiva (infarto polmonare). Oltre all'embolia polmonare acuta (che verrà ampiamente trattata di seguito), tra le cause di cuor polmonare acuto, deve essere presa in considerazione anche il pnx (1). Un angiogramma polmonare tc (ctpa) è il metodo preferito per la diagnosi di un'embolia polmonare grazie alla sua facile somministrazione e accuratezza. Sebbene sia preferibile un ctpa.

La scintigrafia polmonare perfusionale con macroaggregati di albumina marcati con tc99 eseguita embolia polmonare. Tecnica del dott salvatore spagnolo pubblicata negli stati uniti nel testo di cardiochirurgia:

Posting Komentar

Lebih baru Lebih lama

Facebook